Skip to content
Home
Slide Gallery
Learning Resources
Face Development
Gingiva
Molar Pulp Stone
Palate
Salivary Gland
Temporomandibular Joint (TMJ)
Tooth Eruption
Tooth Development
Tooth Structure
Tongue
Self Assessment
Labeling Exercise
Quiz
Our Team
Feedback
Contact Us
Home
Slide Gallery
Learning Resources
Face Development
Gingiva
Molar Pulp Stone
Palate
Salivary Gland
Temporomandibular Joint (TMJ)
Tooth Eruption
Tooth Development
Tooth Structure
Tongue
Self Assessment
Labeling Exercise
Quiz
Our Team
Feedback
Contact Us
Learning Resources
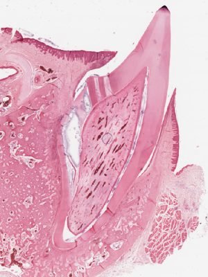
Tooth Eruption
Dentin
Pulp
Gingiva
Alveolar bone
Tooth Eruption
Dentin
Pulp
Alveolar bone
Scroll to Top